CAP

誌面連動 動画配信サービス

CAP

CAP2024年8月号 Online Contents

雑誌に記載されているパスワードを入力してください

診断力をアップする! 猫アトピー性皮膚症候群

FASSを疑ったが他の疾患・ 原因がみつかった症例

動画を視聴する

CAP2024年7月号 Online Contents

雑誌に記載されているパスワードを入力してください

今日から取り入れる 局所麻酔テクニック

気管挿管における局所麻酔

動画を視聴する

今日から取り入れる 局所麻酔テクニック

表面・浸潤麻酔

動画を視聴する

今日から取り入れる 局所麻酔テクニック

去勢手術で使える局所麻酔

動画を視聴する

今日から取り入れる 局所麻酔テクニック

避妊手術で使える局所麻酔

動画を視聴する

今日から取り入れる 局所麻酔テクニック

口腔内処置における局所麻酔

動画を視聴する

キャットフレンドリーの概念と子猫の来院促進

事例1:子猫教室 ~猫とご家族の学びとコミュニケーションの場に~

動画を視聴する

CAP2024年5月号 Online Contents

雑誌に記載されているパスワードを入力してください

こんな症例に出会ったら? とある診察室を覗いて学ぶアプローチ法

第74回 パテラ(膝蓋骨脱臼)が悪化しました

動画を視聴する

CAP2024年3月号 Online Contents

雑誌に記載されているパスワードを入力してください

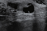
ここでつまずく 超音波検査のQ&A

第6回 肝臓の脈管構造

動画を視聴する

CAP2024年2月号 Online Contents

雑誌に記載されているパスワードを入力してください

子犬・子猫の飼いはじめに遭遇する感染症

外部寄生虫感染症

動画を視聴する

CAP2024年1月号 Online Contents

雑誌に記載されているパスワードを入力してください

似ている徴候 鑑別のコツ

「倒れた」 ~てんかん発作か失神か~

動画を視聴する

似ている徴候 鑑別のコツ

「咳している」 ~くしゃみか逆くしゃみか咳か~

動画を視聴する

似ている徴候 鑑別のコツ

「震えている」 ~寒さか痛みか神経か~

動画を視聴する

ここでつまずく 超音波検査のQ&A

肝臓 ~後編~

動画を視聴する

CAP2023年12月号 Online Contents

雑誌に記載されているパスワードを入力してください

今がチャンス! 手術に紹介するべきタイミング

気管虚脱

動画を視聴する

CAP2023年10月号 Online Contents

雑誌に記載されているパスワードを入力してください

もしもに備える 異物・中毒物の誤飲への対応法

来院頻度の高い異物・中毒物

動画を視聴する

CAP2023年9月号 Online Contents

雑誌に記載されているパスワードを入力してください

タイムチャートで学ぶ! 獣医師と動物病院スタッフの チーム救急医療

第6回 外傷

動画を視聴する

CAP2023年7月号 Online Contents

雑誌に記載されているパスワードを入力してください

一次診療現場で押さえておきたい! 外科手術

第16回 胆嚢摘出術

動画を視聴する

タイムチャートで学ぶ! 獣医師と動物病院スタッフの チーム救急医療

第3回 胸水貯留・気胸

動画を視聴する

CAP2023年6月号 Online Contents

雑誌に記載されているパスワードを入力してください

こんなところにも超音波検査

喉頭

動画を視聴する

こんなところにも超音波検査

動画を視聴する

こんなところにも超音波検査

皮下・皮膚腫瘤

動画を視聴する

CAP2023年5月号 Online Contents

雑誌に記載されているパスワードを入力してください

一次診療現場で押さえておきたい! 外科手術

第15回 外鼻孔狭窄整復術・ 軟口蓋整復術

動画を視聴する

タイムチャートで学ぶ! 獣医師と動物病院スタッフの チーム救急医療

第3回 これだけはできるようにしたい手技 投薬

動画を視聴する